Teeth helps in crushing food we have and makes it ready for digestion together with saliva. Its functionality will be affected if we do not maintain it regularly, leads to tooth decay.
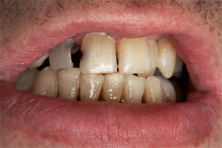
Tooth decay is due to some bacteria in plaque deposited on tooth from sugar and starchy foods we intake! Which damages the tooth slowly, gives pain, bad smell and results in replacement. Plaque are yellowish deposition on tooth from our foods which affects the dental health. It is from the sugars, snacks, and foods we have daily and water without fluoride which helps in preventing tooth decay.
If it treated in early stages itself, we can prevent it! Mostly affects the children and senior citizens.
Early symptoms,
*pain while eating any fruits and foods
*pains in night while you sleep
*enamel itching and losing its strength
* color changes from white to dark.
Medical Treatment for tooth decay,
In early stages (damaging the tooth slowly on sides, trying to reach the core of tooth), the affected areas are removed and the cavity is filled with silver amalgam to prevent any microorganism entering into the cavity. If it has reached the core of tooth, then root canal treatment is needed to treat the pulp, the core of tooth which consists of small nerves, and regular medication injected inside that tooth to destroy all bacteria inside it and need to cover with crown, it can be made of gold or any other element. For children, need to change their food habits, fluoride water and if infection is more, doctor may go for removing that tooth in order to prevent the others.

To prevent tooth decay
* Reduce sugar contents in your daily diet which prevents bacteria growth in teeth. And rinse your mouth with water regularly after every meal.
* Avoid processed foods. Try to have raw and cooked vegetables,fruits more and raw milk regularly every morning which provides calcium,vitamins D3,K,magnesium, phosphorus which helps in maintaining oral health.
* Do oil Pulling before brushing your teeth every morning. Swishing a tablespoon of coconut/sesame oil in your mouth for 4-5 mins and spit it, then rinse your mouth with warm water.
* Oil pulling prevents many health related including oral health. Brush your teeth normal after oil pulling. Avoid swallowing oil.
* Garlic has antibacterial properties, try eating raw garlic regularly and apply it on affected tooth for pain relief.
* Add a pinch of salt in your toothpaste when you brush which helps in preventing bacteria growth.
* Dilute 2 to 3 drops of clove oil with 1/4 teaspoon of sesame seed oil. Apply this solution on affected tooth with help of ear bud every night before going to sleep.
* Treat the infection, pain in early stages itself.
* Brush your teeth after every foods or have mouth wash and gargling! And brush twice a day.
* Use toothpaste containing fluoride which prevents the tooth decay.
* Have a dental checkup and clean the plaque deposition once in every six months.


3 comments:
This blog have increased the natural views and different perception of the teeth protecting ways, it is well and good as well as i am very well inspired by reading your blog.
http://www.dentistree.in/our-services/tooth-braces-in-chennai/
This blog have increased the natural views and different perception of the teeth protecting ways, it is well and good as well as i am very well inspired by reading your blog.
Tooth Braces In Chennai
This is a great post. I like this topic. This site has lots of advantage.I found many interesting things from this site.
Dental Clinic In Adyar
Dental Clinic In Velachery
Dental Clinic In Tambaram
Dental Clinic In Anna Nagar
Post a Comment